Заболеваемость почечно-клеточным раком (ПКР) продолжает неуклонно расти, что связано как с улучшением диагностики новообразований данного органа, так и с ростом истинной заболеваемости. По темпам прироста онкологической заболеваемости в России ПКР устойчиво занимает третье место после рака предстательной и щитовидной желез.
Благодаря совершенствованию методов лучевой диагностики, обследование и лечение пациентов с раком почки за последние годы претерпели существенные изменения. Так, клинические признаки болезни в настоящее время перестали играть решающую рол ь- классическая триада кровь в моче, боль в боку и объемное образование в забрюшинном пространстве, как правило, в настоящее время встречается крайне редко (не превышая 10 %). Чаще опухоли почек на ранних стадиях протекают бессимптомно!
Опухоль паренхимы почки может быть диагностированной в следующих случаях:
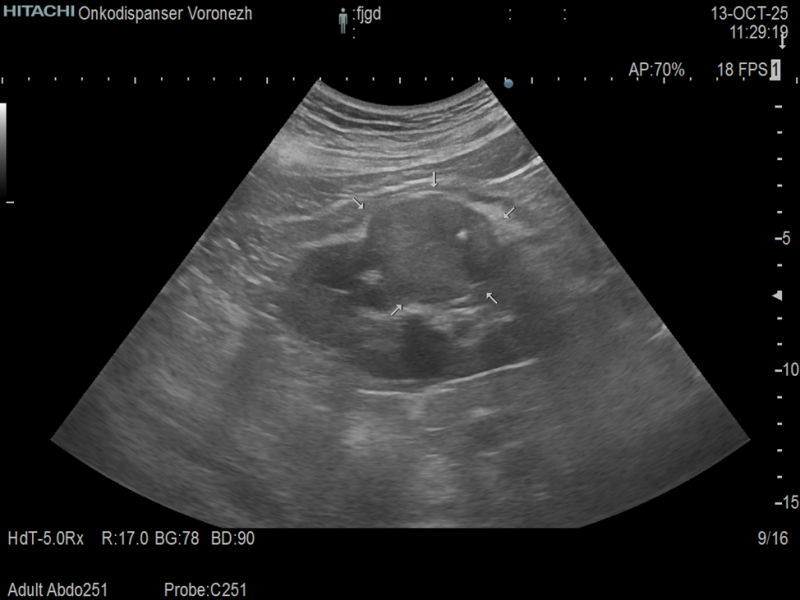
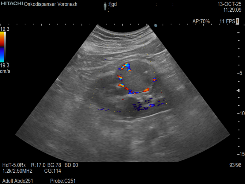
• как случайная находка при диспансерном проведении ультразвукового исследования (УЗИ), компьютерной (КТ) и магнитно-резонансной (МРТ) томографий;
• как случайная находка при поиске другого урологического заболевания (например, УЗИ по поводу мочекаменной болезни);
• как случайная находка при поиске неурологического заболевания (например, если при КТ легких в срез попал верхний сегмент почки с имеющейся опухолью; или когда выполняется УЗИ при желчекаменной болезни и выявляется опухоль правой почки);
• как случайная находка при экстренной открытой операции на органах брюшной полости; если при больших размерах опухоли и экстраренальном типе роста при ревизии брюшной полости пропальпирована опухоль почки (очень редко);
• если наличие изменений в анализах крови и/или мочи послужило основанием к проведению УЗИ почек.


Медицине известны факторы риска развития ПКР:
Заболеваемость ПКР зависит от возраста и достигает максимума к 70 годам. Мужчины болеют в два раза чаще, чем женщины.
На сегодняшний день доказано, что курение табака является одним из наиболее значимых факторов риска развития различных злокачественных новообразований. В нескольких исследованиях показано статистически достоверное неблагоприятное влияние курения табака и числа выкуриваемых сигарет на вероятность развития рака почки. Риск появления опухоли почки у курильщиков обеих половых групп возрастает с 30 до 60 % по сравнению с некурящим населением.
Колебания массы тела, а также значительное ее увеличение у взрослых являются независимыми факторами риска развития ПКР. Ожирение приводит к увеличению частоты заболеваемости ПКР на 20 %. Возможный механизм влияния ожирения на развитие рака связан с увеличением концентрации эндогенных эстрогенов и активностью инсулиноподобных факторов роста. Кроме того, ожирение способствует развитию гипертензии, нефросклероза, метаболических нарушений и других факторов, ассоциированных с опухолевой индукцией.
Отмечено увеличение риска развития рака почки у больных с артериальной гипертензией (АГ) на 20 %. Было выявлено, что, несмотря на нормализацию давления у пациентов, страдающих АГ, риск развития рака почки остается на прежнем уровне. Риск развития рака почки повышен у лиц с длительным анамнезом артериальной гипертензии, 5 лет и более.
Отмечен повышенный риск развития ПКР в терминальной стадии хронической почечной недостаточности, особенно у пациентов, находящихся на гемодиализе.
В эпидемиологических исследованиях отмечена корреляция частоты возникновения рака почки с употреблением мяса, растительных жиров. Употребление овощей и фруктов, по данным большинства авторов, способствует снижению риска развития рака почки.
ПКР не является профессиональным заболеванием. Однако, отмечено повышение риска развития данной патологии у лиц, занятых на ткацком, резиново-каучуковом, бумажном производстве, имеющих контакт с промышленными красителями, нефтью и ее производными, промышленными ядохимикатами и солями тяжелых металлов.
Определенное значение в развитии рака почки имеют наследственные факторы, причем наследуется не само новообразование, а предрасположенность к нему. Например, у лиц с такими наследственными заболеваниями, как болезнь Гиппеля–Линдау (цереброретинальный ангиоматоз) и болезнь Бурневиля–Прингла (туберозный склероз), помимо нарушений эмбриогенеза имеется генетическая предрасположенность к ПКР. Опухолевый процесс у них зачастую двусторонний и мультифокальный, а очаги опухолевого процесса чередуются с кистами.
Не откладывайте заботу о ваших почках на завтра – пройдите профилактическое исследование у профессионалов сегодня!

